検査・治療のご案内

超音波(エコー)検査

  • 検査内容

    超音波という人間の耳には聞こえない高い周波数(1~13MHz(メガヘルツ))の音波を身体の外から当て、その反射音波を電気信号に変換し、体内の状態を映像化して疾患の有無を調べる検査です。

    音波であるためレントゲン検査のように放射線被ばくの心配が無く、かつ身体への負担がなく苦痛もありません。

    検査から得られる情報量は豊富であることから、疾患の診断、経過観察、治療効果判定などに有用な検査です。

    リアルタイムに画像が得られ、検査結果を当日に判定できます。

  • 当院の特長

    超音波検査士(日本超音波医学会認定)の資格を有する検査技師が在籍しています。

    年間約10,000件の豊富な検査実績と、それに基づいた消化器領域に特化(肝・胆・膵・脾・結腸・胃等)した高い診断能力があります。

    膵臓のように椅子に座った状態のほうが観察しやすい部位があること、また検査中に起き上がったり横を向いたりの動作が少なくて済むように当院の検査台は、ベッドではなく電動リクライニングチェアを採用しており、座って検査を受けられます。(一部はベッドの採用あり)

    胃内のガスを圧迫し、膵臓を観察しやすくするため、飲水法(少量の水を飲んだ状態での検査)を一部行っています。

    原則として、空腹の状態で受けていただく検査ですが食事を摂取してしまった場合、また初診の方でも必要に応じて即日検査を実施しています。

    腹部エコー検査実績12万件以上の技師が在籍しています。

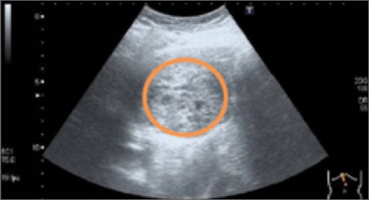
  • 検査のイメージ

    肝細胞癌

    肝細胞癌

    膵癌

    膵癌

  • 検査動画

    超音波(エコー)検査説明動画

  • 超音波検査について

お電話でのお問い合わせ

平日:09 : 00 〜 17 : 00 / 土曜日:09 : 00 〜 13 : 30

042-626-5111(代表)

お電話での診療予約・変更

平日:09 : 00 〜 17 : 00 / 土曜日:09 : 00 〜 13 : 30

042-626-5102

ご来院当日の診察待ち時間短縮のため、事前の診察予約をお勧めいたします。

       

当日のご予約は承っておりません。当日の診療をご希望の方は、総合受付または①番窓口にお声かけください。