検査・治療のご案内

超音波内視鏡検査(EUS)

超音波内視鏡検査(EUS)は、内視鏡の先端に超音波検査装置を搭載した特殊な内視鏡を用いて、消化管の内から超音波をあてて臓器や病変を詳しく調べる検査です。通常の内視鏡検査では見えない粘膜下の病変や、体の外側から行う超音波検査(腹部エコー)では確認しにくい膵臓・胆道・消化管壁・リンパ節などの詳細な観察が可能です。

超音波内視鏡検査(EUS)とは

  • 膵臓・胆道の病気を詳しく調べられる(膵のう胞・腫瘍、胆管の狭窄や胆石など)

  • がんや腫瘍の浸潤の深さを確認できる(消化管のがんがどの程度の深さまで達しているかを評価)

  • 通常の超音波検査では見えにくい部位を観察できる(リンパ節・血管・粘膜下腫瘍など)

  • 必要に応じて組織を採取できる(超音波内視鏡下穿刺吸引細胞診:EUS-FNA)

  • 消化管の壁の異常を詳しく調べることができる(粘膜下腫瘍・炎症などの診断)

  • 病気の広がりを確認し、治療方針を決めるために役立つ

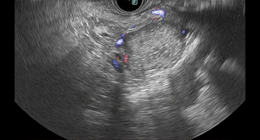
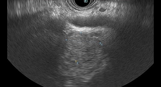
  • 検査のイメージ

    着色処理前
    着色処理後
  • 検査・治療内容

    超音波内視鏡(EUS)は、内視鏡の先端に超音波検査装置が搭載された内視鏡です。これにより消化管の中から超音波をあて、周囲の臓器(主に膵臓、胆嚢、胆管等)や消化管壁、血管、リンパ節の診断を行います。

    体表からの腹部超音波検査とは異なり、胃や腸内の空気、腹壁、腹腔の脂肪、骨が検査の妨げにならず目的の病変を近くから観察できるため、鮮明な超音波観察が可能となります。

    通常の内視鏡検査では消化管の表面しか観察できませんが、超音波を用いることによって消化管腫瘍の内部組織の観察、潰瘍や腫瘍の深達度(浸潤の深さ)、周囲臓器との位置関係、粘膜下腫瘍の位置や大きさなどを知ることができます。

    当院では、主に胆道・膵臓疾患に対する精密検査として行っています。特に、腹部超音波検査やCT・MRI検査で疑われた膵嚢胞性病変(膵管内乳頭粘液性腫瘍、漿液性嚢胞腫瘍、粘液性嚢胞腫瘍等)や膵腫瘍性病変(膵癌や膵神経内分泌腫瘍等)、胆道腫瘍(胆嚢・胆管癌や胆嚢ポリープ)の良悪性診断、質的診断、周囲臓器や血管との浸潤度を検査しています。

    検査部位によっては、内視鏡を通してバルーンと呼ばれる風船を膨らませたり、食道、胃の内腔に水を貯め込むことがあります。

    検査時間は通常30分程度ですが、詳細な検査や処置が必要な場合には時間がかかることがあります。

お電話でのお問い合わせ

平日:09 : 00 〜 17 : 00 / 土曜日:09 : 00 〜 13 : 30

042-626-5111(代表)

お電話での診療予約・変更

平日:09 : 00 〜 17 : 00 / 土曜日:09 : 00 〜 13 : 30

042-626-5102

ご来院当日の診察待ち時間短縮のため、事前の診察予約をお勧めいたします。

       

当日のご予約は承っておりません。当日の診療をご希望の方は、総合受付または①番窓口にお声かけください。